• Anand Vatika Society, 146/2, Sector 22, Gandhinagar, Gujarat 382021

logo


About Bharat Dental Hospital

About Bharat Dental Hospital - A Multispeciality Cosmetic Laser & Implant Clinic

Looking for the Best Dentist in Gandhinagar? Welcome to Bharat Dental Hospital – A Multispeciality Cosmetic, Laser & Implant Clinic, your trusted destination for advanced dental care. Renowned as the Best Dental Clinic in Gandhinagar, we specialize in dental implants, laser treatments, root canals, veneers, braces, and pediatric (kidz) dentistry. Our expert team ensures gentle, precise, and painless treatments using modern technology. Whether it’s restoring your smile with implants or aligning teeth with braces, we offer personalized care for all age groups. Step into a clean, comfortable, and caring environment designed to make your dental experience pleasant and stress-free. Your perfect smile starts here!

  • Single Sitting RCT
  • Laser RCT
  • Smile Designing
  • Veneers & Laminates
  • Treatment of Pyorrhea
  • Gum & Smile Designing

12 Years

Dental Experienced

30+

Dental Services

Read More..
image


We Care For Every Patient

Compassionate Care, Always

Hospital Time

Monday & Saturday
9:30 am-1 pm & 5:00–8:00 pm


Book Appointment
image

Our Best Services

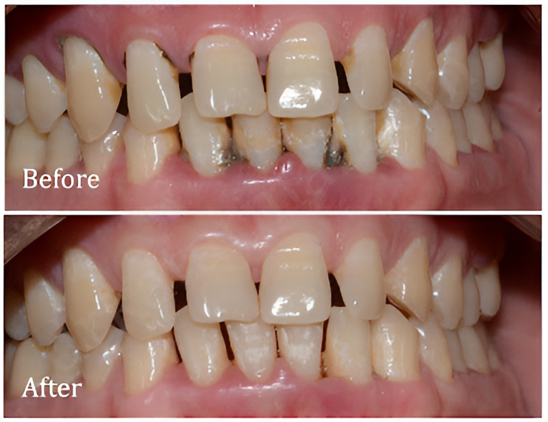
Treatment of Pyorrhea

Pyorrhea, also known as periodontitis, is a serious gum infection that damages the soft tissue and can destroy the bone that supports your teeth if...

Read More..

Gum & Smile Designing

Gum and Smile Designing is an advanced cosmetic dental procedure aimed at enhancing the appearance of a person’s smile by re...

Read More..

Implants & Full Mouth Rehabilitation

Implants and Full Mouth Rehabilitation is a comprehensive dental treatment approach designed to restore the function, structure, a...

Read More..

Single Sitting RCT

Single Sitting RCT (Root Canal Treatment) is a modern and efficient dental procedure designed to treat infected or damaged tooth p...

Read More..

Laser RCT

Laser RCT (Laser-Assisted Root Canal Treatment) is an advanced and highly precise dental procedure that uses laser technology to e...

Read More..

Veneers & Laminates

Veneers and Laminates are popular cosmetic dental treatments designed to enhance the appearance of teeth by correcting imperfectio...

Read More..
Our Clients Review

Real Review From Our Real Patient


Our Achievements

Our Achievements

image
image
image

Our New Blogs:

Dentures!

  • Post By: 2025-07-03
  • Do You Need Braces?

  • Post By: 2025-06-14
  • image

    If You Hasve Any Query Contact Now.

    Contact Us

    Make An Appointment

    Make An Appointment